
你有莫得过这种心慌: 昨天刚说过的话,今天就忘得一干二净? 刷牙时骤然想不起钥匙放哪儿了? 或者看着父母冉冉认不出我方,心像被针扎相同疼……
别慌!2026年1月顶刊《Nature Aging》径直甩出一记重磅: 黑米里富含的两种不足够脂肪酸(ALA + EDA),能精确绽开大脑里一种叫GPR120的“开关”,只在阿尔茨海默病斑块周围的免疫细胞(巨噬细胞+小胶质细胞)里激活! 约束?Aβ淀粉样斑块大幅减少、牵记力归附到平时小鼠水平、寿命还延迟了!
一句话口语回来: 多吃黑米 = 给大脑请了个专职清洁队,罕见吃掉让老东说念主忘事的“毒卵白”!

doi: 10.1038/s43587-025-01028-4
履行有多硬核?我们用生存场景讲
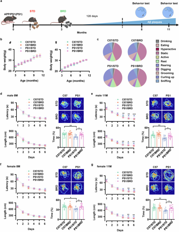
推测团队用两种经典AD小鼠(APP/PS1和5×FAD)作念了履行:
5个月大的“死板小鼠”每天吃黑米饲料(或径直喂ALA+EDA)45天。
约束: 水迷宫里,小鼠找秘密平台的速率和次数,跟平时小鼠险些相同!(底本它们天天绕圈子,当今直奔狡计) 新奇臂Y迷宫:它们难忘“新址间”在那里,探索手艺和次数权臣增多。 11个媒人鼠(超过于东说念主类70-80岁)成果依然显然,证实“一火羊补牢,为时未晚”!
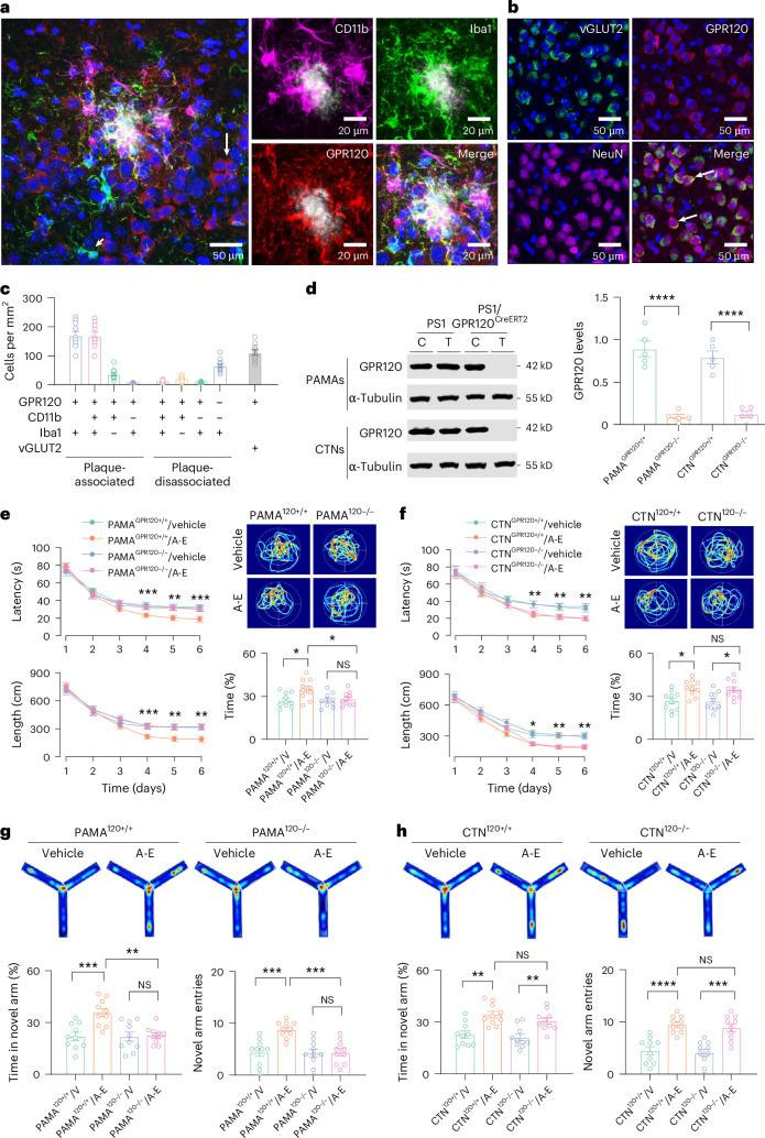
更神奇的是:单独吃ALA或EDA成果一般,但两者合体后像开了挂——斑块周围的免疫细胞眨眼间酿成“吞吃狂魔”,把Aβ卵白吃得清清爽爽!

图1:黑米饮食能细巧APP/PS1小鼠的牵记力下落。
用最接地气的比方讲机制(保证你秒懂+有参与感)
把大脑假想成一个小区:
Aβ斑块 = 堆满垃圾的死角(越堆越多,邻居脑细胞就“中毒”忘事)
小胶质细胞+巨噬细胞 = 小区保洁大姨(平时懒洋洋,IM体育官方网站看见垃圾也懒得动)
GPR120 = 大姨手机里的“任务App”
黑米里的ALA和EDA就像:
ALA = 给App推送任务告知(绽开开关)
EDA = 暗暗给App充了VIP会员(变构增强,闪开关聪敏100倍)
两者一积蓄,保洁大姨眨眼间变身“扫地机器东说念主”——精确冲到斑块区,把垃圾(Aβ)吞进去消化掉! 同期激活Gαi1-mTORC1通路,让大姨干活更有力,还不累。
推测还作念了基因敲除考证: 把GPR120只在斑块周围细胞里敲掉 → 黑米全齐没成果! 再把Gαi1敲掉 → 相同失效! 阐扬:必须是这个特定细胞里的这个开关,才管用! 这等于“细胞类型特异性”的牛X之处。

一种细胞类型特异性的GPR120介导ALA和EDA的调理成果。
你当今能随即作念的3件小事(今晚就能参与!)
饮食升级:每成全少3次黑米饭/黑米粥(超市有卖黑米或黑米粉)。或者多吃富含ALA的亚麻籽、核桃 + 富含EDA的某些植物油。推测里剂量换算成东说念主,梗概每天黑米50-100g就够。
牵记小游戏自测(参与感拉满): 今晚寝息前,回忆今天吃了什么、见了谁、说了哪句话。迷惑7天纪录,望望忘事次数是不是在减少? 磋议区打卡:“我今晚煮了黑米饭+核桃!第1天 ”
生存小tips:合作适量通顺(漫衍40分钟),成果翻倍!因为通顺本人也能让GPR120更活跃。

临了想问问环球
你家老东说念主平时爱吃米饭吗? 准备试试黑米替换白米吗? 如故仍是初始囤黑米了? 磋议区告诉我:“我家今晚就换黑米!期待第30天牵记变好~”
坚捏吃1个月,你可能会发现: 父母骤然能我方记药、认出老像片、聊天想路了了了……
督察父母,从一碗黑米饭初始! 点赞+转发,让更多家庭看到这个“不需要吃药就能帮大脑清垃圾”的好讯息!
参考文件: He AIM体育官方网站, Wang Y, Shen Y, et al. Allosteric activation of a cell-type-specific GPR120 inhibits amyloid pathology of Alzheimer's disease. Nature Aging. 2026. https://doi.org/10.1038/s43587-025-01028-4
金佰利app官网下载入口
备案号: