
“仅仅有点便秘,
吃点通便茶就好了……”
这句话,
44岁的廖女士对我方说了整整十年。
她怎样也没念念到,
这句话的代价,是一段被切掉的肠子。
从“小弱点”到“切肠子”
10年前,廖女士启动偶尔便秘。开头仅仅两三天排一次,她合计“不是什么大事”。
一又友保举了一款网红通便胶囊,“纯自然、排毒养颜”。她看了看要素表——大黄、番泻叶,皆是中药嘛,安全。于是启动吃。成果确乎好。吃了就拉,肚子也好意思瞻念了。
可迟缓地,她发现我方离不开它了。一朝停药,便秘比之前更严重。于是她加量,从一天一粒形成一天三粒。十年间,她换过多半品牌的通便茶、排毒果冻、西梅汁,唯有声称“通便”,她就敢试。
本年齿首,廖女士的肚子蓦然剧痛,敞开五天莫得排便。家东说念主把她送到西安市东说念主民病院(西安市第四病院)时,她通盘这个词东说念主瑟缩在病床上,样子发青。
急诊医师焦炙安排了保守休养——禁食、灌肠、补液。三天畴前了,肠子刻舟求剑。“不行再等了。”主刀医师赵东波副主任医师样貌凝重地告诉家属,“肠紧闭严重,必须手术。”
手术台上,医师切开腹腔时倒吸一口寒气——她的一段结肠照旧失去弹性,肠壁像被墨水浸泡过同样,呈现骇东说念主的玄色。
长期服用刺激性泻药,肠壁被药物反复刺激,色素千里积,神经末梢坏死,肠说念再也无法自主蠕动。
最终,廖女士被切除了30厘米的肠管。术后醒来,ag真人app她看着肚子上的伤口,哭得说不出话。“若是十年前,我能早点去病院望望就好了……”
肠子变"豹纹"
极少也不荒废
无独到偶,
另一位江苏的季女士
也碰到肖似的情况。
50多岁的季女士被便秘困扰了4年多,开头,她通过更正饮食结构、多吃粗粮来改善。
其后,她迷上了集会保举,启动尝试各式通便茶和保健品 。服用后,季女士发现便秘确有好转,就养成了长期服用的风俗 ,还会按时囤些货在家。当一种茶或保健品没什么成果后,她就会换另一种尝试。
直到2024年4月中旬
季女士发现通盘的通便茶
皆不论用了
她腹部合手续胀痛
才到淮安市中病院肛肠科就诊
不查不知说念
一查吓一跳
季女士整条大肠内壁
呈现出棕玄色蛇皮样
玄色素千里着昭彰
被会诊为"结肠黑变病"
若链接发展
有癌变的可能
经由休养,季女士的便秘症状有了昭彰的好转。
医师先容,临床上许多患者
自行口服药物后筛查肠镜
均有不同进程的结肠黑变病
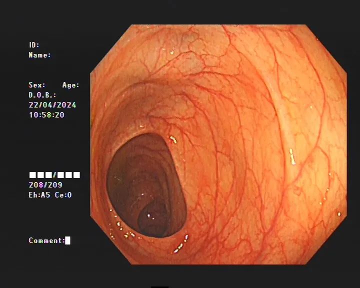
闲居的结肠黏膜就像口腔黏膜同样,是淡红色的,看起来光滑平坦,黏膜名义的小血管纹理了了可见。

闲居的肠说念
而结肠黑变病的肠黏膜明朗呈现棕色、褐色,IM体育官方网站首页有豹纹或者蛇皮同样的条状纹,严重的以致会形成玄色。

结肠黑变病患者
结肠黑变病是因为结肠壁的归拢细胞归拢了褐色素样物资,导致肠壁色素千里着。庸碌点说,便是大肠吃多了色素,就形成了黑肠。此外,直肠前突、肠套叠、溃疡性结肠炎等其他疾病也可能导致黑变病。
3·15刚刚曝光了真相
2026年3·15晚会揭开了“网红排毒居品”的遮羞布。
多款热销的西梅汁、酵素果冻、通便茶,被检出犯罪添加了酚丁类繁衍物、比沙可啶等强效泻药要素。
这些要素,从未获批手脚食物添加剂。但商家把它们伪装成“自然通便”“0添加排毒”,大力宣传。
为什么?因为奏效快。消耗者吃了半小时就念念跑茅厕,以为我方“终于找到了矿藏居品”。
可他们不知说念的是,每一次“立竿见影”的背后,皆是肠说念神经在无声地抗议。
对于便秘:
咱们扭曲了太多
医学上,便秘不是“嗅觉排不出来”就算。它有硬办法:
每周排便少于3次;
排便珍摄、粪便干结;
症状合手续6个月以上,才算“慢性便秘”。
好多东说念主偶尔一两天没排便,就心焦得不行,急仓卒忙找“通便神器”。这种心焦,正巧成了无良商家的冲破口。
便秘的危害,也远不啻“不好意思瞻念”这样浅近。
长期便秘的东说念主,不仅仅腹胀、长痔疮、肛裂这样“轻”。排便时拚命使劲,血压会短暂飙升——临床上,有几许心梗、脑溢血,便是发生在马桶上。
还有更隐敝的风险:长期便秘,结直肠癌的发病率会昭彰升高。
那些“速效通便”
到底作念了什么?
市面上常见的“通便茶”“网红西梅汁”,中枢套路高度一致:
添加刺激性泻药——番泻苷、比沙可啶、酚酞、大黄素……
这些东西的旨趣是什么?
浅近说,它们是“鞭子”。强行抽打肠说念,让它拚命蠕动。一次两次还行,天天抽,肠说念神经就坏了。

药物依赖:肠说念失去自主蠕动智商,不吃药就透顶“歇工”,医学上叫“泻剂结肠”。
结肠黑变病:肠壁色素千里着,自然当今认为可逆,但长期刺激下,癌变风险辞谢疏远。
功能阑珊:泻肚与便秘轮流,肠说念透顶“疯了”。
你以为在“排毒”,其实是在“毁肠”。
正确的措施
其实没那么复杂
果然的通便,不需要“猛药”。它需要的是耐烦和对躯壳的尊重。
先看糊口:
膳食纤维:逐日摄入25-30g,如燕麦、红薯、绿叶菜、火龙果。
饮水:每天1.5-2L温水,软化粪便。
畅通:快走、揉腹(顺时针推拿左下腹)促进肠蠕动。
用药有负责:
益生菌:转机肠说念菌群,需坚合手1-3个月。;
仁爱泻药:如乳果糖、聚乙二醇,遵医嘱使用。
中药珍爱:凭证体质辨证施治,如气虚者补气健脾,阴虚者滋阴润燥。
警惕“网红居品”陷坑
看配料表:纯西梅汁仅含西梅浓缩汁,若含“番泻苷”“比沙可啶”等要素,立即停用。
隔绝“速效”宣传:自然食物通便作用仁爱,凡声称“30分钟通便”的居品,大约率犯罪添加泻药。
遴荐正规渠说念:商超、官方旗舰店购买,幸免三无居品。
便秘不是丢东说念主的事,它是躯壳发出的信号,领导你:饮食该调整了,水喝少了,压力太大了,或者——该去望望医师了。
健康莫得捷径
善待肠说念
它才会善待你
新民晚报轮廓西安市东说念主民病院 西安市第四病院、新闻坊等IM体育官方网站
雅博体育app中国官网入口
备案号: